近日,ISICDM 2018胰腺CT图像分割挑战赛获奖团队名单揭晓,物理与材料科学学院上海市磁共振重点实验室王一达领衔的团队在40多支队伍中进入前6名,荣获三等奖。

物理与材料科学学院上海市磁共振重点实验室王一达团队获ISICDM 2018胰腺CT图像分割挑战赛季军
此次胰腺CT分割挑战赛,由ISICDM 2018会议组委会联合陆军军医大学数字医学研究所与陆军军医大学西南医院共同主办,旨在通过挑战赛的形式为数字医学产学研界提供技术交流和展示的平台。本项挑战赛收集20例经病理诊断为胰腺癌的病人,40例正常对照组(男性、女性各20例)。扫描设备为西门子64排CT(Definition AS, Siemens),扫描方案为标准胰腺扫描方案,受试者仰卧位躺于扫描床上,扫描范围上包括膈肌,下包括坐骨结节。共采集平扫、动脉期、静脉期三组数据。平扫完成后依据体重经肘静脉推注非离子造剂(欧乃派克350 GE)100-120ml,注射速度为4-5ml/s,注射完成后25-30s采集动脉期,60s采集静脉期。扫描参数为管电压120KV,有效管电流为60-110mAs,准直宽度为16x1.2mm,螺距为0.8,分别行1mm和5mm重建。因胰腺分割在临床上多采用静脉期,所以本次挑战赛仅选取了静脉期图像。
胰腺是人体最重要器官之一,具有内、外分泌功能。近年,胰腺疾病的发病率逐年上升,尤其是胰腺癌,为致死率最高的肿瘤之一,5年生存率小于1%。CT检查为诊断胰腺病变最主要的检查方式,随着数字医疗设备的进步和影像组学和深度学习等领域的发展,利用CT数据进行计算机辅助诊断,准确诊断胰腺病成为可能。而胰腺分割作为计算机辅助诊断基础而重要步骤,研究意义重大。由于胰腺的解剖结构较为复杂,其主要位于后腹膜,形态、位置变异较大,且周围有大量邻近组织,如胃、十二直肠、脾脏及大血管,这些组织在CT图像上与胰腺紧密相连且密度相似,再加上CT图像本身的噪声、局部体效应和组织运动的影响等因素,胰腺分割也是个具有很大挑战性的问题。
本次大赛于9月20号开始报名,内容分为初赛和决赛,初赛又分为两个阶段,初赛第一阶段于10月7日到10月9日进行,共计24小时,初赛第二轮于10月14日上午举行,共计4小时,决赛于10月14日晚举行。在初赛的第一和第二阶段,参赛选手们根据大会公开的第一批和第二批测试数据分别提交了分割结果,一共有22个团队提交了初赛第一轮和第二轮的分割结果。随后,两轮初赛的定量评价(基于Dice值)排名前10名的团队进入了10月14日晚的现场决赛。决赛当晚,挑战赛组织者现场发放临床数据,10个决赛团队轮流上台展示,在台上用自备的电脑当场测试各自的算法,并通过投影展示软件的完整操作过程,一层一层地显示分割结果,以便评委和观众能够仔细观察。最后,挑战赛的3位算法评委和3位影像科医生评委综合考虑了初赛第一轮和初赛第二轮的定量评估排名和现场决赛6位评委的主观评估排名之后,评出了一等奖1名,二等奖2名,三等奖3名。

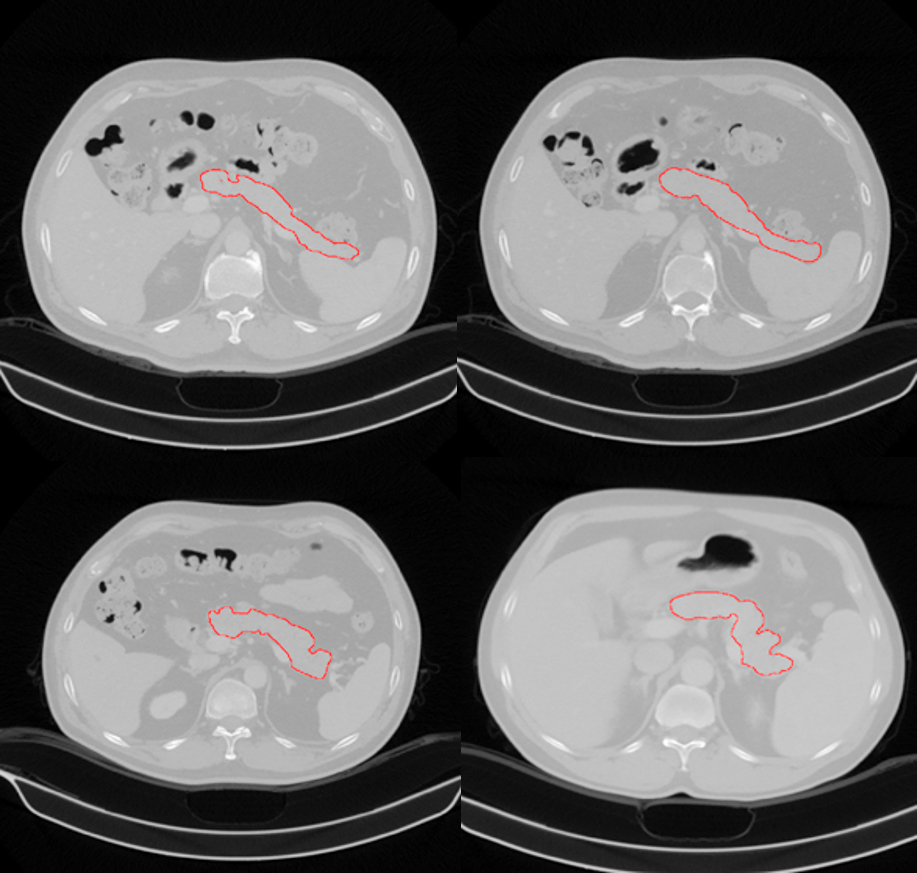
描红部分为王一达团队找出的胰腺位置
此次胰腺分割挑战赛兼具专业性和实战性。专业性不仅体现在参赛选手的教育背景和专业水准上(决赛队伍均来自浙江大学、上海交通大学、厦门大学、同济大学等中国一流高校),也体现在算法和医生评委上。决赛算法评委包括了电子科技大学李纯明教授,美国杜兰大学王玉平教授和平安科技美东研究院吕乐博士。来自北京大学第一医院王霄英教授,北京协和医院陆菁菁教授和吉林大学第一医院佟丹教授则组成了强大的医生评委阵容。在实战性上,参赛队伍使用的20例训练数据和16例测试数据均来自陆军军医大学西南医院的真实临床数据,每一例都包含层厚为2mm和5mm的两个增强静脉期三维CT图像,并且大赛不允许反复提交分割结果,避免了传统分割挑战赛中参赛者通过反复提交结果刷分数的弊端。据了解,王一达整个国庆节都在紧张的备战。初赛和决赛环节的每场比赛时间越来越短,也越来越逼近真实临床环境。在现场决赛环节,两轮初赛总成绩前十名的团队到场,自备电脑连接会场的大屏幕,评委和观众在台下实时观看参赛代表的软件操作过程,所得到的结论真实可信。

物理与材料科学学院上海市磁共振重点实验室王一达
在赛后接受采访时,王一达特别提到感谢团队中的另外两位成员:在比赛过程中提供算法优化建议的宋阳博士,以及提供医学指导的江苏省人民医院张玉东博士。王一达还对实验室杨光老师的支持与鼓励、计算机系沈超敏老师一直以来的合作表示感谢,这份荣誉离不开大家的支持与帮助。
附:ISICDM 2018胰腺CT图像分割挑战赛获奖名单
一等奖:李悦团队(中山大学)
二等奖:唐晓颖团队(南方科技大学)
陈宇飞团队(同济大学)
三等奖:陈荣臻团队(厦门大学)
余伟团队(重庆图矩科技有限公司,重庆大学)
王一达团队 (beat365英国官网网站)
图、文|张知博 来源|物理与材料科学学院 编辑|刘露霞 编审|郭文君